안녕하세요 금자연세치과 원장 송찬호입니다. 오늘은 사랑니 발치에 대해 알아보겠습니다. 사랑니는 곧게 자라는 경우도 있지만 옆으로 자라거나 다른 방향으로 자라는 경우가 많아 조기 발치하는 경우가 많아 환자분들이 불편함을 느껴 발치를 위해 치과를 찾는 경우가 많습니다. 보통은 사랑니가 나올 때 머리가 앞으로 기울어지지만 때로는 사랑니가 뒤로 나기도 합니다.
![]()
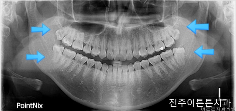
양쪽 아래 사랑니를 보면 맹출 방향이 역방향임을 알 수 있다. 사랑니를 앓는 환자들이 나중에 치과에 와서 사진을 보고 설명을 하면 치아가 수평이 아닌 것을 다행이라고 생각하는 경우가 많다. 그러나 치아가 뒤를 향하고 있을 때는 뒤쪽의 턱뼈가 치아를 매우 강하게 지지하고, 앞쪽과 반대 방향, 즉 발치 방향이 되어 있어 장치 접근이 어렵다. 위의 경우 치아의 뿌리도 많이 휘어져 있고 치아가 매우 커서 치아를 발치하기 어려운 상황에 해당합니다. 이 부분은 환자에게 치아발치를 했다고 충분히 설명을 드렸는데요, 위의 예에서는 사진상으로 양쪽 아래 사랑니와 오른쪽 위(실제로는 왼쪽 위) 사랑니를 포함하여 2~3개의 사랑니를 발치하였습니다.
사진 왼쪽 하단에 있는 사랑니였는데 뿌리가 휘고 머리가 너무 커서 치아가 여러 조각으로 쪼개져 뽑혔습니다. 치근이 뼈에 단단히 부착되어 발치가 어려웠지만 치근을 포함한 모든 치아가 깨끗하게 발치되었습니다. 사랑니 발치의 난이도는 엑스레이로 대략적으로 예측할 수 있지만 실제로는 치아 뿌리의 유착 정도와 환자 뼈의 경도도 중요하기 때문에 발치에는 실제로 시간이 걸린다. 시기에는 약간의 차이가 있을 것입니다. 골드내추럴치과에서는 다양한 사랑니 발치 경험 사례를 통해 가장 빠르고 불편함이 적은 사랑니 발치를 위해 노력하고 있습니다. 공포감이 강해 사랑니 발치를 미루게 되면 나중에는 염증으로 인해 발치시 더 큰 불편함을 유발할 수 있으며 앞니에도 악영향을 미칠 수 있습니다. 이는 보통 사람들이 걱정하는 것과는 다르고, 평소에 쉽게 할 수 있는 일이니 두려워하지 마시고, 다른 치아에 염증이 생기거나 다른 치아 건강 문제로 진행되기 전에 적절한 상담과 치료를 통해 치아 건강 문제를 보호하시기 바랍니다. .나는 희망

충청북도 청주시 상당구 중앙개로 330 금천연세치과병원 3층
![]()
![]()
![]()

![]()
![]()
![]()
![]()